15.12.2015 - Ci sono periodi in cui la mancanza di "qualcuno" che tu hai amato intensamente si fa sempre più forte, sfogli quell'album come per cercare di trovare la forza, le lacrime ti scendono giù copiose e pensi che c'è stata tanta ingiustizia per questa piccolina che era così tanto amata.
La sua vita è stata breve come una stella che cade. Chiudi quel libro di ricordi ed apri l'email e cosa trovi:
"Buona sera Cosetta,
in questo periodo dell’anno mandavo una foto di Greta con gli auguri di Natale. Lo faccio anche quest’anno perché in fondo lei è sempre con noi.
Ti auguro buon Natale e un sereno Anno Nuovo.
Con sincero affetto
Barbara ( e Greta)"
E si la nostra dolce meravigliosa Greta è sempre con noi ad illuminare il nostro cammino. Greta sei sempre con noi, anche se appartieni ad un'altra dimensione, quella dove vivono gli angeli.
 |
16-04-2015 - E' così difficile per noi raccontarvi cosa è successo ieri ... la testa è presa da mille pensieri, il cuore batte all'impazzata e le lacrime scendono copiose.
Come si può spiegare la morte di una cagnolina dolce come Greta? La nostra bambolina non c'è più, un altro angelo è volato in cielo.
Era il 22 novembre 2011 e noi scrivevamo questo:
"E poi arriva questo piccolo fiorellino.
Piccola di circa 5 mesi, spaventata, correva in mezzo alla strada, sulle quattro corsie... forse dietro ad un sogno, quello di una casa.
Appena l'abbiamo presa in braccio abbiamo "sentito" che il suo cuoricino ha un battito diverso.
Domani sarà sottoposta all'ecocardio e vi relazioneremo sul suo stato di salute.
E' una cucciola dolcissima e molto buona.
Noi ci auguriamo che sia solo la nostra grande tensione a farci sentire "rumori diversi".
Noi ci speriamo. L'abbiamo chiamata Greta."
Dopo pochi giorni Greta è stata portata a Samarate presso la clinica Malpensa ed è stata operata al cuoricino dal dottor Santilli.
Nel frattempo una donna meravigliosa si è innamorata di lei e così, uscita dalla clinica Greta è andata a casa con Barbara e Angelo, due creature impossibili da definire.
Si sono presi cura di Greta come se fosse la figlia più fragile, un delicato cristallo.
La piccola è stata portata periodicamente in visita presso la clinica, nonostante la distanza.
Negli ultimi tempi il suo cuoricino aveva iniziato ad essere "più strano" del solito e così si è deciso per l'intervento.
Greta ieri pomeriggio si è addormentata sotto anestesia ed ora non c'è più.
Ha lasciato un vuoto enorme nella vita e nella casa di Barbara e Angelo, lei era la loro bambina speciale, quella da amare più di qualsiasi altra cosa al mondo.
Queste le parole di Barbara:
"Cara Cosetta, la scelta di operare Greta era la sola strada da percorrere per non vederla soffrire nelle prossime settimane. Oramai mangiava a fatica, aveva acqua nella pleure e i valori epatici sballati. Abbiamo pensato così tanto a tutto questo da diventar matti. Oggi c'è un vuoto immenso in casa ns e nei ns cuori. L'abbiamo amata come fosse stata una figlia e accudita con dedizione e immenso amore. Io penso che lei sia stata felice per il modo in cui ci ha ricambiato dandoci amore e dolcezza. Non troverò mai le parole x dirti quanto era speciale questa creaturina. Noi ti saremo x sempre grati del meraviglioso dono che ci hai fatto affidandocela. Greta è stata una meravigliosa esperienza di amore. La porterò nel mio cuore per sempre. Lei non morirà mai per la sua mamma. Ti abbraccio forte."
Barbara tu sai chi era Greta per tutti noi e saperla con te è stato il regalo più grande per noi. Grazie amica mia per tutto quello che hai fatto, grazie per l'amore che le avete dato, grazie per aver reso Greta quella creatura speciale impossibile da dimenticare.
12-01-2015 - La nostra dolce Greta, la nostra dolce bambolina ci manda delle foto.
Per noi ricevere queste immagini sono speranza, sono forza e tutti voi conoscete cosa possa rappresentare per noi la piccola meravigliosa adorabile GRETA.
Ecco la sua meravigliosa mamma cosa ci scrive:
Buongiorno Cosetta,
come promesso allego alcune fotografie scattate a Greta il 24 dicembre. Anche Greta, Napoleone e Giulietta hanno ricevuto bellissimi doni per Natale e insieme li abbiamo scartati.
Un abbraccio
Barbara e Angelo
Clicca sulle foto per ingrandirle!
06-02-2014 - La nostra bambola ci manda i saluti!!!!!!!!!!!!!!! Guardatela quanto è bella!!!!
E' un tesoro questa adorabile cagnolina. La sua mamma è meravigliosa, ma d'altronde per Greta poteva esistere solo una mamma speciale ed unica.
Avviso e comunico a tutti che Greta è una cagnolina molto delicata, una creatura che è come un "vetro di cristallo incrinato".
La sua storia ha lasciato tanti segni nel nostro cuore, ma Greta è forte e lei è talmente un fiore delicato che la sua mamma la tratta come uno dei gioielli più preziosi che possano esistere.
Ecco le immagini della dolce bambolina scattate domenica 26 gennaio durante la sua passeggiata. Non stava tanto ferma perchè era impegnata ad annusare gli aromi circostanti.
A voi le foto del nostro meraviglioso Angelo.
Clicca sulle foto per ingrandirle!
 |
 |
 |
11-12-2012 - Greta ci ha mandato i saluti, Greta il nostro Angelo.
Oggi mi hanno fatto questa domanda: parlami di uno di quei cani che ti è rimasto nel cuore.
La mia risposta: ttti i cani mi sono rimasti nel cuore, tutti i cani mi hanno lasciato " segni indelebili", tutti nessuno escluso, certo ce ne sono stati alcuni che mi hanno lasciato dei "solchi" profondi che mai si riemergeranno.
Poi ce ne sono stati alcuni che io considero Angeli, cani che sono arrivati al nostro rifugio con le loro storie strazianti, che sei riuscita a salvare, ma la cosa strana è che questi non erano cani ma Angeli pelosi , come li chiamo io.
Tra questi Angeli pelosi ci sei tu mia meravigliosa Greta.
Io sono molto concreta e nello stesso tempo sono una grande sognatrice ma non posso fingere e pensare che dietro a qualche cane, e lo si intuisce, ci sia dietro " dell'altro".....cani arrivati e che continuano ad essere " presenti al rifugio".
Chi mi poneva la domanda mi ha guardato, forse non aveva capito ed allora io gli ho risposto: cani che sono Angeli che sono arrivati perchè nel loro destino c'era tutto un percorso che stanno facendo per il nostro rifugio!!!!!!
Cani che sono Angeli veri.
Ecco Greta appartiene a questa schiera!!!!!!
La sua mamma scrive:
Come promesso ti invio le foto di Greta.
Vorrei dirti tante cose bellissime di lei, ma poi guardando queste foto mi sembra che non servano parole per descrivere la meravigliosa GIOIA, ALLEGRIA, AMORE di cui sono portatrici queste stupende creature.
Un abbraccio
Ed è tutto vero, queste parole sono vere, nascono dal cuore. Greta, una creatura speciale!!!!!!!!.
Clicca sulle foto per ingrandirle!
 |
 |
 |
 |
 |
 |
 |
 |
 |
02-08-2012 - Esistono gli Angeli e questo io lo so.
Uno di quelli che io ho incontrato nella mia "strada" ha un nome speciale, si chiama Greta, lei c'è sempre nei momenti in cui io sento il gran bisogno di accarezzare qualcosa di magico, di unico e come per incanto mentre la mia mente "galoppa" ecco che arriva una e mail, è quella della nostra meravigliosa Greta.
Ecco cosa scrive la sua mammina:
Ciao Cosetta,
ti mando le foto di Greta scattate ieri in montagna.
Abbiamo potuto fotografarla solo nel momento della sosta in un prato accanto al rifugio, perché lei altrimenti non è mai ferma!!
Sta bene, è bellissima ma soprattutto è una bravissima cagnolina.
Un abbraccio
Grazie Greta, grazie di esistere, grazia di esserci sempre quando la tua tata ha veramente bisogno di energia.
Ti amo profondamente Greta e tu lo sai perchè.
Grazie amore mio, grazie lo devo dire anche alla tua stupenda mamma ed al tuo papa, due persone splendide, è grazie a te mia dolce piccina che noi abbiamo avuto l'onore di incontrarle.
Grazie amore mio.Ed ora gotetevi le meravigliose foto di una creatura speciale di nome Greta....
Clicca sulle foto per ingrandirle!
 |
 |
 |
 |
 |
 |
23-05-2012 - Con gioia riceviamo le foto della nostra bambolina Greta.
Ecco cosa scrive la sua mammina:
Carissima Cosetta,
ti mando le foto di Greta scattate sabato scorso. Nel pomeriggio abbiamo fatto insieme un po’ di giardinaggio e lei ha collaborato….a modo suo…
Greta sta bene, mangia con appetito, gioca e fa brevi passeggiate quasi tutti i giorni: la sua vita è tutto sommato normale.
E’ sempre bravissima e molto affettuosa.
Un abbraccio
Clicca sulle foto per ingrandirle!
 |
 |
 |
 |
 |
 |
 |
 |
 |
 |
 |
 |
 |
 |
10-04-2012 - Carissimi come vi ho anticipato stamattina la piccola Greta non è stata operata.
Vi giro la lettera della sua mamma:
Carissima Cosetta, questa mattina abbiamo portato Greta dal dott. Santilli per capire cosa è possibile fare per la sua delicata situazione.
Dopo aver eseguito un ecocardio il dott. Santilli ha subito notato un peggioramento della condizione della cagnolina.
La stenosi polmonare di Greta è di tipo misto nel senso che oltre ad interessare il ventricolo, interessa anche l'arteria: ventricolo e arteria assumono una forma cosiddetta a "clessidra", ostacolando molto il corso della circolazione sanguigna.
Il dott. Santilli pertanto sconsiglia un nuovo intervento poiché l'utilizzo del palloncino potrebbe danneggiare l'arteria provocando una emorragia che sarebbe fatale per la cagnolina.
La decisione di non intervenire quindi ci è parsa la più sensata.L'operazione, nel caso dovesse riuscire, migliorerebbe di pochissimo la situazione con la probabilità di una recidiva, mentre, lasciando le cose come stanno,Greta potrebbe vivere, con opportuni accorgimenti e attento supporto medico, una vita tranquilla e di discreta qualità.
Il dott.Santilli ci ha fatto esempi di cagnolini come Greta che hanno avuto una aspettativa di vita discreta pur non potendo ambire alla durata di vita media di un cane sano.
Per noi va bene così. Greta è a noi molto cara e quindi le staremo vicino e continueremo insieme questo cammino.
Però, Cosetta, non pensare che Greta sia una cagnolina spenta o triste...è al contrario solare e festosa...solo si stanca un po’ più facilmente degli altri cagnolini.
E' una creaturina meravigliosa e noi siamo davvero felicissimi di averla con noi.
Un abbraccio
Barbara e Angelo
e noi cosa possiamo dire , siamo certi Greta, un angelo veglierà sempre accanto a te, tu che in tante cose " gli assomigli ", ma tu Greta hai due genitori stupendi, che ti amano e faranno tutto per te.
Buona vita nostra stella adorata.
Clicca sulle foto per ingrandirle!
 |
 |
 |
03-04-2012 - Greta la nostra bambolina dovrà essere rioperata !!!!!!!!!!!!
Ci sono creature che " entrano" nella tua vita , creature speciali come meteore luminose che mai dimentichi e sono loro che continuano a darti forza.
Tutti conoscete la storia della nostra bambina, della nostra Greta, operata il 23/12/2011 al cuore per una stenosi polmonare. Felicemente adottata da una famiglia stupenda ed unica che sanno amarla e dargli tutto cio di cui una creatura come Greta possa aver bisogno.
Controlli periodici eseguiti con scrupolosità e poi tanto ma tanto amata. All'ultimo controllo la nostra piccina ha evidenziato una serie di valori tutti sballati:
Stenosi polmonare con gradiente polmonare post-valvuloplastica di 183MMHG.
Flusso aortico con velocità picco entro i limiti normali di riferimento.
Quando mi è stata comunicata la notizia mi è " caduto il mondo addosso!"
Il 5 aprile la nostra bambolina sarà operata e tutti i nostri cuori saranno con lei , accanto a lei ed alla sua meravigliosa mamma che ci ha sempre costantemente informati delle sue condizioni.
Greta " un angelo" quel giorno sarà accanto a te.
Non ci sono lacrime ma solo forza per questa meravigliosa creatura.La tua mamma mi ha detto solo: la mia bambina ......due parole che trasmettevano tutto !!!
Ti proteggero' dai dolori supererò le correnti gravitazionale e guarirai da tutte le malattie perchè tu sei un essere speciale ed io avrò cura di te.I miei pensieri attraversano il mare.Ti porterò soprattuto il silenzio e la pazienza percorreremo insieme le vie che portano all' essenza.Conosco le leggi del mondo e te ne faro dono .Ti salverò da ogni malinconia perchè sei un' essere speciale ed io avrò cura di te!!!!!!!!!( la tua mammina)
Leggi il referto >>>>>
Clicca sulle foto per ingrandirle!
 |
07-03-2012 - Greta, una bambola stupenda e meravigliosa, ci manda i saluti.
Io penso che ciò che gli animali riescono a trasmettere a noi umani sia impossibile da descrivere, una sensazione di energia pura.
Ci sono momenti, è la vita, in cui pensi di non farcela a sopportare tanta cattiveria gratuita che ti circonda, l' uomo ha una capacità unica di distruzione ma poi, forse telepatia, arriva un soffio di purezza, un soffio di vero amore e di sincerità, arrivano le foto di uno di quegli Angeli che tu hai combattuto per salvare e tutto passa, tutto ti scivola via.
Grazie Greta, grazie di averti incontrato, tu hai permesso al mio cuore di gioire, tu ha permesso ancora oggi di farmi tornare il sorriso e di lottare con forza per dare dignità a delle creature dove, istituzioni preposte si sono dimenticati dei loro doveri ed obblighi.
E' stato solo grazie alla solidarietà che tu oggi mia dolce Greta puoi "sorridere" , è stato grazie alla tua meravigliosa mamma Barbara ed al tuo papa' Angelo che tu oggi sei felice.
Ed ecco la sua mamma, con due semplici parole trasmettere a noi ed a voi tutti la sua gioia.
Ciao Cosetta,
ti invio le foto di Greta nel giardino di casa, reduce dalla passeggiata.
Un abbraccio Barbara.
Clicca sulle foto per ingrandirle!
 |
 |
 |
 |
 |
 |
 |
 |
 |
 |
28-02-2012 - Le nuove foto di Greta che ti danno forza!!!
Non arrenderti mai, perché quando pensi che sia tutto finito, è il momento in cui tutto ha inizio.
Jim Morrison
e mentre piango perchè tutto non funziona e va storto , pero' poi ad un certo punto ti fermi e pensi: ''I miei ragazzi'' e pensi a quelle creature fantastiche che tanto amore sanno dare, hanno bisogno di fatti e non di lacrime e inizi a capire e pensare e poi come sempre nei momenti di sconforto arriva sempre una forza " misteriosa" che ti dice: lo vedi io sono " figlia della vostra lotta" , forse dovrai " asciugarti le lacrime", arrivano le tue meravigliose foto, Greta,la nostra dolce bambolina. Ecco cosa scrive la sua meravigliosa mamma:
Ciao Cosetta,
ti mando alcune foto della tua "bambina" Greta, sono certa che ti farà
piacere vederla,è bellissima, ma soprattutto è una cagnolina dal carattere meraviglioso.
Un abbraccio
Angelo, Barbara, Greta, Giulietta e Napoleone (che nelle foto non
compare, ma che ha cominciato a giocare con la sua nuova sorellina!)
Greta grazie mia dolce bambolina.
Grazie Barbara di aver curato immensamente questa pietra preziosa, proteggila come sai fare tu, lei è un pezzo del mio cuore.
Non posso cambiare la direzione del vento, ma posso sistemare le vele in modo da poter raggiungere la mia destinazione.” (Jimmy Dean)
Clicca sulle foto per ingrandirle!
08-02-2012 - Greta le tue immagini scaldano il cuore!!!!!!!!!!!!!!
Oggi è una giornata terribilmente fredda e piovosa.
Girando tra i recinti il cuore ti si spezza, guardare quelle anime cosi' bagnate e infreddolite sono immagini che ti rattristano.
Pensi che tutto quello che fai non possa servire a nulla.
Cosa hanno mai commesso queste creature per avere questa vita!!!!!!
Occuparsi di queste anime è molto difficile specialmente quando oltre alle avversità economiche si aggiungono quelle meteorologiche. Pensi che lotti invano ma poi..............
Arrivi in ufficio apri la posta e ricevi questa bellissima e mail :
Ciao Cosetta,
ti invio alcune immagini di Greta, perché anche se fa molto freddo
scaldano il cuore.
In questi giorni ha scoperto la neve....le piace moltissimo....ci
infila il musetto e si imbianca tutta!
Un abbraccio
Barbara
Ecco, dimenticato il freddo, dimenticato tutta l' amarezza, dai lottiamo affinché quelle creature " bagnate" possano avere la fortuna della piccola Greta, la nostra piccola bambina.
Clicca sulle foto per ingrandirle!
31-01-2012 - E cosi è arrivata questa ventata di gioia e speranza dove veramente pensi che non devi mai smettere di sperare.
Guardate le foto di Greta !!!!!!!
La sua meravigliosa famiglia è orgogliosa di questa splendida "ragazzina" e poi con la sua sorellina Giulietta hanno stretto un perfetto feeling, sono due bambole.
Grazie Barbara, grazie Angelo per dare amore a questa nostra "creatura".
E ora signori a voi le foto della nostra principessina!!!!
Clicca sulle foto per ingrandirle!
 |
 |
 |
 |
 |
 |
27-12-2011 - E cosi' anche la storia di Greta finisce " nel libro a lieto fine "
Eccome se esistono i miracoli, eccome se abbiamo ricevuto il piu' bel regalo di Natale!!!
Greta è stata adottata.
Ieri mentre parlavamo al telefono con Sergio ci siamo detti: quante persone meravigliose ci sono al mondo e che noi abbiamo avuto la posssibilità, grazie ai nostri amici a quattro zampe, di incontrare nella strada......che persone stupende e quanti siete!!!!
La nostra piccola Greta oggi è stata consegnata da Sergio insieme a Carola alla sua meravigliosa mamma e papa, una famiglia splendida di Modena.
La piccola che tanto ci ha tenuto in pena ci ha premiato con la sua grande forza di vivere e di lottare.
Noi eravamo consapevoli che l' intervento a cui la piccina è stata sottoposta era molto difficoltoso e durante le stesse fasi ci sono stati attimi di grande tensione ma l'equipe guidata dal dott. Santilli è stata eccezionale e quindi grazie a loro a Greta è stata restituita " la vita".
La sua famiglia era già venuta a conoscere la piccolina a casa di Sergio e le parole della sua mamma sono state: è una creatura bellissima, stringerla tra le braccia da una sezione particolare.
E si, noi lo sappiamo perché quel gesto lo abbiamo fatto tantissime volte, è per questo che non ci siamo fermati di fronte alle difficoltà che abbiamo incontrato, Greta doveva vivere, Greta un esserino di 3,5 kg sprigionava un qualcosa di carismatico, Greta è una creatura speciale e noi ne siamo consapevoli.
Da oggi per lei inizierà una bellissima storia e come tutte "le nostre favole " anche questa sarà racchiusa in quel bellissimo libro a cui noi ogni tanto andiamo a leggere per trarre la forza per andare avanti.
Ciao piccola cucciola, ciao nostro grande ed immenso amore, ti porteremo sempre nel nostro cuore e tu dolce creatura non dimenticarti mai che in " quell'angolo di mondo " ci sono tanti tuoi fratellini minori , non dimenticarti mai di loro e non dimenticarti mai nemmeno delle persone che tanta forza ti hanno dato e trasmesso.
Grazie di cuore a tutti.
Ciao grande amore Buon Natale stellina d'oro..
Clicca sulle foto per ingrandirle!
 |
 |
 |
 |
 |
3-12-2011 - La nostra bambolina oggi è stata operata.
L'intervento è andato benissimo, ci sono stati dei problemi durante l'intervento ma tutto si è risolto per il meglio.
Attimi di apprenzione hanno constellato la nostra mattinata, sembravano ore interminabili.
Non appena la notizia dell'intervento è stata messa sull' web sono partite le telefonate per rassicurarci che anche questa volta " l'uomo con a bilancia" è stato dalla nostra parte.
Allegato c'è il referto del dott. Santilli che spiega le tecniche dell' intervento.
La piccolina adesso sta riposando e domani potremmo dirvi il decorso post operatorio.
Possiamo dirlo: Greta sei stata un bellissimo regalo di Natale.
Leggi il referto medico >>>>>
Clicca sulla foto per ingrandirla!
22-12-2011 - Oggi la nostra bambolina alle 7,15 è partita per Milano.
All' arrivo c'era Sergio che l 'ha portata a casa sua.
Giovedì la piccina sarà operata.
Esprimere il mio stato d'animo quando ha oltrepassato il limiti di sicurezza e' " senza fiato".
Vedevo in lontananza i suoi occhi che mi cercavano e poi.........
Ora guardo le tue foto e penso che sei in buone mani, Sergio ti coccolerà piccina mia.
Greta fai da brava e poi giovedì tutti " i cuori del rifugio" batteranno per il tuo cuoricino.
Vi aggiorneremo.
Clicca sulle foto per ingrandirle!
 |
 |
 |
 |
13-12-2011 - Ecco a voi la piccola Greta in attesa dell' intervento.
La piccola sta facendo la terapia preparatoria per l'intervento.
A giorni conosceremo la data e ci auguriamo che finisca presto questo " calvario" dell' attesa.
Descrivere la piccola Greta è come racchiudere una perla rara in uno scrigno prezioso.
E' fantastica questa cucciola, è dolcissima e con un carattere spettacolare.
Sapete quelle creature che al solo sguardo vi penetrano nel cuore?
Ecco questa è Greta, un angelo con poteri straordinari.Guardatela come è bella, ma il lato migliore è la sua compostezza, la sua signorilità.
E' una vera principessa.
Ai prossimi aggiornamenti.
Clicca sulle foto per ingrandirle!
 |
 |
 |
 |
30-11-2011 - E cosi' come vi avevamo anticipato eccoci di ritorno dalla Clinica Malpensa a Samarate. La sua diagnosi confermata dal Dott. Santilli:
Grave stenosi polmonare a tipo misto con piccolo difetto setto interventricolare perimembranoso.
Ispessimento cuspidi polmonari con fusione dei lembi e doming. Marcata dilatazione arteria polmonare principale con annulus normale (12 mm). Marcata ipertrofia concentrica settoparietale destra con iperecogenicità subendocardica e grave sovraccarico pressorio ventricolare destro. Evidente lieve destro-posizione aortica con piccolo difetto setto interventricolare perimembranoso.
Stenosi polmonare grave e dinamica moderata (3,93 m/sec). Modesto flusso transettale.Intervento tra 15 gg.
Per il momento la piccola dovrà prendere un farmaco, Atenololo.
Il dott. Santilli è sato chiarissimo, la patologia di Greta è una di quelle che porta inesorabilmente alla morte in brevissimo tempo ma ha ribadito nello stesso tempo che l' intervento è molto rischioso ma è l' unica possibilità per vivere.
Oggi Greta è felice, gioiosa, è una di quelle creature in cui ti siedi di fronte e le parli, quasi possa recepire le tue parole: CHI SEI LE CHIEDO? PERCHE' SEI VENUTA NELLA NOSTRA " STRADA", non pensi Greta che noi abbiamo già sofferto abbastanza? COSA VUOL SIGNIFICARE IL TUO INCONTRO?
Domande alle quali sicuramente mai noi avremmo delle risposte.
Più la guardo e più queste domande mi tormentano. La nostra disperazione, le tante paure, le mille domande senza risposta. Ho sentito parlare di questa malattia ma solo n’ animale adulto, quindi perché e' toccato alla nostra principessa?
Come farà la nostra " bambolina " a sopportare un peso così grande? Tutto mi sembra triste, forse anche un po' ingiusto. Allora penso: se è arrivata a noi , sommersi dalle emergenze, sicuramente un " motivo " ci sarà?
Certamente non ho tutte le risposte ma ad una di queste domande sono convinta di poter rispondere con certezza........, lei è gioiosa, festosa e solare, allora Greta è riuscita ad accettare il suo "compagno di viaggio".
Questo non significa che stiamo accettando questa " ennesima ingiustizia", ma il vuoto e lo smarrimento hanno lasciato il posto alla serenità e alla forza di lottare e sperare e questo solo guardando Greta .Siamo fiduciosi nel l' intervento e sono sicura che insieme ci riusciremo e che poi tutto sarà più facile.
Noi di rinunce ne facciamo ma la nostra piccola principessa ha diritto a vivere e con tanta sensibilità riusciremo anche in questa difficile impresa.Il costo dell' intervento sarà di circa 1.600,00 euro, oltre IVA , Enpav e spese di viaggio che affronteremo anche questa volta con l' aiuto di tutti.
Greta piccola cucciola.
Clicca sulle foto per ingrandirle!
 |
 |
 |
 |
 |
 |
 |
 |
 |
 |
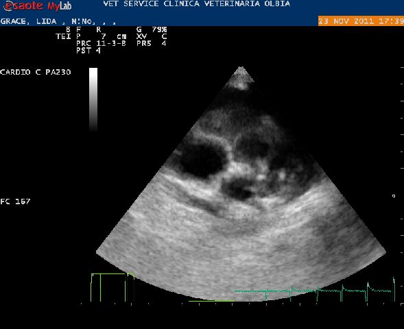
25-11-2011 - UN ANNO DA DIMENTICARE … povera Greta, adesso ci sei anche tu ...
Ed eccomi qui, ancora una volta, a chiedervi l’ennesimo sforzo, a gridare ancora una volta aiuto, aiuto per questa pulce che ha bisogno di partire per un lungo viaggio verso l’ignoto…
Greta dovrà essere ricoverata presso la clinica Malpensa del dottor Santilli, a Samarate (VA), per essere sottoposta ad una visita specialistica al cuore.
Abbiamo effettuato qua tutte le visite indispensabili, alle prime consultazioni è risultata affetta da una Stenosi Polmonare.
Purtroppo le immagini trasmesse non lasciano vedere le condizioni della valvola mitralica.
Greta lunedi dovrà partire a Milano accompagnata da una nostra volontaria, Federica, dove ad attenderla ci sarà un altro volontario, Toto, e da li via alla Clinica Malpensa dove verrà stilato il verdetto.
L’anno non è ancora finito, e ormai siamo esausti, ma natale è vicino e noi vogliamo ancora credere nei miracoli …
Non è necessario essere un veterinario per capire che qualcosa non va.
Basta osservarla, è un esserino di circa 5 mesi, sta rannicchiata tutto il giorno e dorme la maggior parte del tempo.
Lei è un batuffolo di circa 4 kg, Greta è un pupazzo inanimato. Ogni tanto guarda dei cuccioli che stanno vicino a lei, li osserva giocare, rincorrersi, mordicchiarsi, darsi le zampate con quell’energia che solo i piccoli hanno. Greta quell’energia non ce l’ha.
E’ stato prendendola in braccio che ci siamo accorti che il suo cuoricino non sprizzava gioia, non emanava contentezza, non emetteva brio.
C’era qualcosa che non andava.
Poi ce l’ha detto anche il veterinario: il muscolo cardiaco di Greta è una bomba a orologeria.
Greta dovrà sicuramente affrontare una delicata operazione che ripari quel cuoricino difettoso. Un’operazione che le regalerà la voglia e l’energia per unirsi agli altri cuccioli che giocano.
Riuscirà anche lei a dare le zampate, a rotolarsi insieme agli amichetti, a correre festosa e spensierata. E’ un suo diritto!
In questi mesi siamo caduti in ginocchio centinaia di volte, ed altrettante ci siamo rialzati!Qualche mente malata ha anche provato a dar fuoco al Rifugio, riuscendo in parte nel suo intento. E riprovandoci … Poco male, decine di migliaia di euro andati in fumo, ma tutti i cani stanno bene!
Adesso le alluvioni e il canile allagato!
Ma cosa ci dobbiamo aspettare ancora, il giudizio universale???????
Già ci siamo dentro!! Abbiamo dato fondo a tutto, stiamo ricostruendo il Rifugio, in condizioni indescrivibili!
Abbiamo 700 bocche da sfamare, cure da somministrare, vaccini che sistematicamente finiscono, sterilizzazioni che non è più possibile affrontare, ormai abbiamo raschiato il barile fino all’osso: dentro non c’è più nulla!!!!!Ma potevamo voltarci dall’altra parte e fare finta di nulla?
L’intervento per la piccolina sarà costoso e le cliniche “continentali” non fanno credito, non accettano dilazioni per l’onorario.
Ecco, lo sapevo, dovevamo tirare dritto, far finta di niente, dopotutto noi abbiamo un rifugio da mandare avanti! Ma avete idea di quanta pappa mangiano 700 cani in un giorno? E poi abbiamo anche i gatti, e loro di certo non vivono d’aria!
Poi ci sono i dipendenti da pagare, stiamo ricostruendo il rifugio, il Ministero ci ha imposto l’acquisto delle cucce coibentate, c’è la manutenzione quotidiana e di conseguenza l’acquisto del materiale. Ma noi possiamo veramente girarci dall’altra parte, pensando a tutte queste cose, distogliendo il nostro sguardo dal suo?????????
Ogni volta dovremmo essere colti da questo dilemma!
Quando decidemmo di mandare Alberta a Sasso Marconi per la chemioterapia, fummo attaccati da molte persone, le quali ci domandavano se fosse giusto spendere tutti quei soldi per un cane, quando ne avevo 700 da mantenere!
Oggi possiamo dire che lo rifaremmo mille volte ancora!
Ma con quale coraggio possiamo lasciare che una piccolina stia acciambellata in solitudine ad attendere la morte?
Noi crediamo che se gli ospiti del rifugio potessero scegliere, deciderebbero di destinare quei soldini delle scorte di cibo alla loro amichetta malata.
Gli animali sono così.
Ma anche molti umani sono così.
Ed è a quelli che ci rivolgiamo per domandare aiuto, è a voi che chiediamo di sostenere la piccola Greta. A voi, che spesso restate nell’ombra, ma con un cuore grande decidete di rinunciare ad una pizza, ad una colazione al bar e destinate qualche euro per restituire ad un esserino indifeso la possibilità di vivere.
Perché Grace senza di voi non ce la farà!
Clicca sulle foto per ingrandirle!
22-11-2011 - E poi arriva questo piccolo " fiorellino".
Piccola di circa 5 mesi , spaventata , correva in mezzo alla strada, alle quattro corsie. Sola , forse dietro ad un sogno , quello di una casa.
La piccola appena l'abbiamo presa in braccio abbiamo "sentito" che il suo cuoricino ha un battito diverso.
Domani sarà sottoposta all' ecocardio e vi relazioneremo sul suo stato di salute.
E' una cucciola dolcissima e molto buona.
Noi ci auguriamo che sia solo la nostra grande tensione a farci sentire "rumori diversi" .
Noi ci speriamo. L'abbiamo chiamata Greta.
Clicca sulle foto per ingrandirle! |